
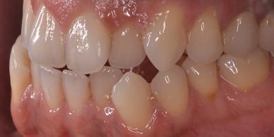
This is considered the most common type.
The molars are in a normal or ideal relationship (the mesiobuccal cusp of the upper first molar occludes with the buccal groove of the lower first molar).
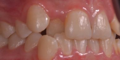
However, despite the correct molar relationship, other misalignments are present in the teeth. These can include:
Crowding: Not enough space for all teeth, leading to crooked, rotated, or overlapping teeth.
Spacing/Diastema: Gaps between teeth, often due to small teeth, missing teeth, or a large jaw.
Crossbite: One or more upper teeth bite inside the lower teeth. This can be anterior (front teeth) or posterior (back teeth), and unilateral (one side) or bilateral (both sides).
Deep Bite: (Excessive Overbite): The upper front teeth excessively overlap the lower front teeth, sometimes covering them completely or even biting into the gum tissue on the roof of the mouth.
Open Bite: A vertical gap between the upper and lower teeth when the mouth is closed. This can be anterior (front teeth don't meet) or posterior (back teeth don't meet).
Overjet: (Protrusion): The upper front teeth protrude horizontally far beyond the lower front teeth (often called "buck teeth").
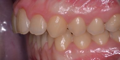
The lower first molar is positioned too far back relative to the upper first molar.
This often results in the upper jaw and teeth appearing to protrude or be significantly forward of the lower jaw and teeth, creating an "overbite" appearance.
Class II is further divided into two types:
Class II, Division 1: The upper front teeth are flared outward (proclined), leading to a large overjet (horizontal protrusion).
Class II, Division 2: The upper central incisors are tipped inward (retroclined), and the upper lateral incisors may overlap them. This often results in a deep overbite, but the overjet may be normal or slightly increased.
The lower first molar is positioned too far forward (mesial) relative to the upper first molar.
This typically results in the lower jaw and teeth appearing to protrude in front of the upper jaw and teeth, creating an "underbite." This can also be referred to as an anterior crossbite.
Class III can be due to an underdeveloped upper jaw, an overdeveloped lower jaw, or a combination of both.
We use cookies to analyze website traffic and optimize your website experience. By accepting our use of cookies, your data will be aggregated with all other user data.